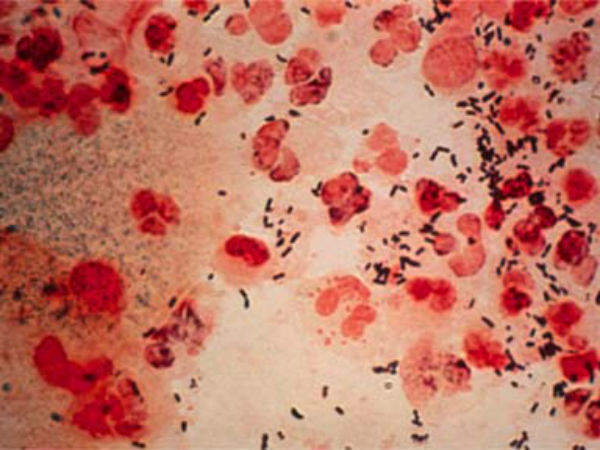
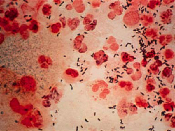
எய்ட்ஸ்சினை விட கொடிய நோய் கொணோரியா... ஓர் எச்சரிக்கை
மனிதர்களை மிரட்டும் எய்ட்ஸ் நோய்க்கே இன்னும் சரியான அளவில் மருந்து கண்டுபிடிக்கப்படவில்லை. இந்த நிலையில் மற்றொரு பால்வினை நோய் மக்களை அதிகபட்சமாக அச்சுறுத்தி வருகிறது.

பீதியை கிளப்பும் கொணோரியா
தமிழில் வெட்டை நோய் என்றும் ஆங்கிலத்தில் கொணோரியா(Gonorrhea) என்றும் அழைக்கப்படும் இந்த நோய்தான் இப்போது பீதியை கிளப்ப ஆரம்பித்துள்ளது.

10 கோடி பேர் பாதிப்பு
உலக அளவில் பார்க்கையில் ஒவ்வொரு ஆண்டும் புதிதாக பத்து கோடிப் பேருக்கும் அதிகமானோருக்கு இந்த நோய்த் தொற்று ஏற்பட்டு வருவதாக ஐநா தெரிவித்துள்ளது. இது பாக்டீரியாவால் பரவும் நோயாகும்.

நோய் எதிர்ப்பு மருந்து இல்லை
இந்த வெட்டை நோய் ஆண்டிபயாடிக் மருந்துகளுக்கு கட்டுப்படுவதில்லையாம். இந்தநோய் விரைவில் குணப்படுத்த முடியாத ஒரு நோயாக மாறி வருவதை கவனத்தில் கொள்ள வேண்டும் என இங்கிலாந்தில் நடக்கின்ற ஒரு மைக்ரோ பயாலஜிஸ்டு மாநாட்டில் எச்சரிக்க உள்ளனர் நிபுணர்கள்.

காலம் தாழ்த்தும் நிபுணர்கள்
வெட்டை நோயை எதிர்க்கவல்ல புதிய அண்டிபயாடிக் மருந்தை ஆராய்ச்சியாளர்கள் கண்டுபிடிப்பார்கள் என்ற நம்பிக்கையோடு நோயாளிகளுக்கு மற்ற சிகிச்சைகளைத் தந்து காலம் தாழ்த்துவதைத் தவிர சுகாதாரத்துறை நிர்வாகிக்களுக்கு வேறு வழியில்லாமல் போகலாம் என இந்த மாநாட்டில் எச்சரிக்கப்படவுள்ளது.

ஆண்களுக்கு அறிகுறிகள்
இந்த நோய் தொற்று ஏற்பட்டால் அடிக்கடி சிறுநீர் கழிக்க நேரிடும். ஆண் உறுப்புக்களில் இருந்து மஞ்சள் நிற திரவம் வெளிப்படும். அடிக்கடி சிறுநீர் கழிக்க வேண்டும் என்று உணர்வு ஏற்படும்.

பெண்களுக்கு அறிகுறிகள்
பெண்களின் கருப்பைக் கழுத்துப் பிரதேசம் தொற்று ஏற்படும். அதனால்தான் நோய் அறிகுறிகள் வெளியில் தெரிவதில்லை.
அடிவயிற்றில் வலி ஏற்படும், ஒழுங்கற்ற மாதவிடாய் ஏற்படும். பெண் உறுப்பில் இருந்து துர்நாற்றத்துடன் கூடிய மஞ்சள் நிற திரவம் சுரக்கும்.

உறவு கொள்ளலாமா?
இந்த நோய் தாக்குதல் இருக்கும் போது வாய் வழி உறவில் ஈடுபட்டால் தொண்டையில் கரகரப்பு, தொண்டையில் தொற்றுநோயும் ஏற்படும்.
அதேசமயம் மற்ற முறையிலான உறவின் மூலம் நோய் தொற்று அதிகமாக சீல் வடியவும் வாய்ப்புள்ளது என்கின்றனர் நிபுணர்கள்.

மருந்து தேவை
இம்மாநாட்டில் பாலுறவு நோய்கள் சம்பந்தப்பட்ட இங்கிலாந்தின் முன்னணி நிபுணரான பேராசிரியை கேத்தி ஐசன் குரலெழுப்பவுள்ளார். அதே சமயம் பாதுகாப்பான உடலுறவுப் பழக்கங்கள், மேம்பட்ட நோய்க் கண்டுபிடிப்பு பரிசோதனைகள் போன்றவை அவசியம் எனவும் அவர் வலியுறுத்துகிறார்.

கர்ப்பிணிகள் ஜாக்கிரதை
கர்ப்பகாலத்தில் தாய்க்கு கொணோரியா தொற்று இருக்கும் பட்சத்தில் உடனடியாக சிகிச்சை எடுத்துக் கொள்வது அவசியம். இல்லையென்றால் பிரசவத்தின் பொழுது குழந்தையின் கண்களில் பாதிப்பினை ஏற்படுத்தும் என்று நிபுணர்கள் தெரிவித்துள்ளனர்.
-
தமிழகத்தில் 2010 ல் RI ஆக வேலைக்கு சேர்ந்தவர் 2026ல் எவ்வளவு சம்பளம் வாங்குவார் தெரியுமா? -
இல்லத்தரசி கூப்பன் திட்டத்தில்.. நுணுக்கமான விஷயமே இதுதான்.. டிஆர்பி ராஜா சொன்ன சுவாரசிய தகவல் -
'இல்லத்தரசி' கூப்பன்.. எங்கே வாங்கலாம்? எப்படிப் பயன்படுத்தலாம்? கோட்டை வட்டாரத்தில் கசிந்த தகவல் -
ரூ.100 கோடியை போய் FDல் போட்டு இருக்காரே.. விஜய் சொதப்பிட்டாரே.. யாருங்க இந்த ஐடியா தந்தது? -
கார் ஓட்டுநரின் மகனுக்கு சீட்! எங்கயோ இடிக்குதே! விஜய்யின் ரியல் எஸ்டேட் தொழில் குறித்து ஷாக் தகவல் -
மகளிர் உரிமை தொகை கிடைக்காது.. ஆனாலும் நாளை முதல் தமிழக அரசு தரும் ரூ.2000.. யாருக்கு வரும்? -
காற்றழுத்த தாழ்வு பாதை.. பிச்சு உதறப் போகும் மழை.. இடி, மின்னலுடன் கொட்டப் போகுது! -
500 கோடி விஜய்.. 5 கோடி ஸ்டாலின்.. இரண்டு பேரில் யார் பணக்காரர்கள்? யாருக்கு அதிக கடன்? மினி அலசல்! -
அண்ணாமலை போட்ட அந்த ஒரு கண்டிஷன்.. ஆடிப் போன டெல்லி மேலிடம்.. பிம்ப அரசியல் உடைகிறதா? இனி என்னாகும் -
பாண்டியன் ஸ்டோர்ஸ் 2: மீனா கேட்ட கேள்வி.. பாண்டியனின் எதிர்பாராத முடிவு.. சரவணன் நிலைமை? செம சம்பவம் -
ஆரணியில் கால் வைத்த மகாலட்சுமி.. 75 வருட ரூல்ஸை உடைத்து திமுக முதல்முறை சாதனை.. அதிரும் திருவண்ணாமலை! -
திமுக-அதிமுக இடையே கடும் போட்டி.. ஆட்சியை பிடிப்பது யார்? ஆட்டத்திலேயே இல்லாத தவெக! புதிய சர்வே












Click it and Unblock the Notifications