போலீசுக்கு பயந்து 3 பவுன் நெக்லசை விழுங்கிய திருடன்... ஆபரேஷன் செய்ய டாக்டர்கள் முடிவு
மும்பை: போலீசாருக்குப் பயந்து பெண்ணிடமிருந்து வழிப்பறி செய்த 3 பவுன் தங்க நெக்லசை விழுங்கிய திருடனுக்கு, அறுவைச்சிகிசை செய்து அதனை வெளியே எடுக்க மும்பை மருத்துவர்கள் முடிவு செய்துள்ளனர்.
மும்பை சயான் கோலிவாடா பிரதிக்ஷா நகரை சேர்ந்தவர் ராஜஸ்ரீ(52). இவர் நேற்று அங்குள்ள சாலையில் நடந்து சென்று கொண்டிருந்தபோது அவரது கழுத்தில் கிடந்த 3 பவுன் தங்க நெக்லசை செம்பூர் வாஷிநாக்கா பகுதியை சேர்ந்த அனில் யாதவ்(30) என்ற இளைஞர் பறித்துக் கொண்டு ஓடினார்.

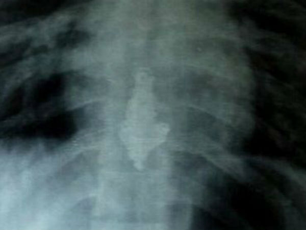
அவரை ரோந்து போலீசார் மற்றும் பொதுமக்கள் மடக்கி பிடித்தனர். ஆனால் அவரிடம் சோதனை செய்த போது நெக்லஸ் இல்லை. இதனால் சந்தேகம் அடைந்த போலீசார் அவரை சயான் மாநகராட்சி மருத்துவமனைக்கு அழைத்து சென்று எக்ஸ்ரே செய்து பார்த்தனர். அப்போது அவரது உணவு குழாயில் நெக்லஸ் சிக்கியிருப்பது தெரியவந்தது.
இதனையடுத்து அவருக்கு டாக்டர்கள் வாழைப்பழங்கள் கொடுத்தனர். 24 வாழைப்பழங்கள் சாப்பிட்ட பின்னர் உணவுக்குழாயில் சிக்கி இருந்த நெக்லஸ் வயிற்றுப்பகுதிக்கு வந்தது. எனவே அந்த இயற்கை உபாதை வழியாக அது வெளியே வந்து விடும் என டாக்டர்கள் கருதினார்கள். ஆனால், நெக்லஸ் வெளியே வரவில்லை. இனிமா கொடுத்தும் பயனில்லை.
பின்னர், அடிவயிற்றில் இருந்து வெளியே வர முடியாதபடி நெக்லஸ் சிக்கி இருப்பது பரிசோதனையில் தெரியவந்தது. இதனால், அனில் யாதவிற்கு அறுவைச் சிகிச்சை செய்து நெக்லசை வெளியே எடுக்க மருத்துவர்கள் முடிவு செய்துள்ளனர்.
நெக்லஸ் அடிவயிற்றில் தங்கி இருந்தாலும் அனில் யாதவ் நல்ல உடல் நலத்துடனேயே இருப்பதாக சயான் மாநகராட்சி மருத்துவமனை டீன் டாக்டர் சுலேமான் மெர்ச்சண்ட் தெரிவித்துள்ளார்.
மேலும் அவர் கூறுகையில், ‘‘அனில் யாதவின் வயிற்றில் இருந்து இயற்கையாக நெக்லசை வெளியே கொண்டு வர தொடர்ந்து முயற்சி செய்து வருகிறோம். நாளை (வியாழக்கிழமை) காலை இயற்கை உபாதை வழியாக வெளியே வரவிட்டால் மாலையே அவருக்கு அறுவை சிகிச்சை செய்து நெக்லஸ் வெளியே எடுக்கப்படும்'' என்றார்.












Click it and Unblock the Notifications