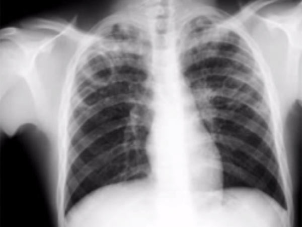
இந்தியாவில் 10 லட்சம் பேருக்கு டிபி!
டெல்லி: இந்தியாவில், 10 லட்சம் பேருக்கு, மிக மோசமான காச நோய் பாதிப்பு ஏற்பட்டுள்ளதாக, உலக சுகாதார நிறுவனம் எச்சரித்துள்ளது.
கடந்தாண்டு மட்டும், இந்தியாவில், 2.7 லட்சம் பேர், இந்த நோய்க்கு பலியாகியுள்ளதாகவும், சுகாதார நிறுவனம் கூறியுள்ளது.
கடந்தாண்டில் மட்டும், 4.5 லட்சம் பேர், புதிதாக இந்த நோயால் பாதிக்கப்பட்டுள்ளனர். இவர்களில் பெரும்பாலானோர், இந்தியா, சீனா, ரஷ்யாவைச் சேர்ந்தவர்கள்.
ஒருவரிடமிருந்து, மற்றவருக்கு, காற்று மூலமாக பரவுவது, காச நோய். இந்த நோயால் பாதிக்கப்பட்டவர்களுக்கு, கடுமையான, தொடர்ச்சியான இருமல், சளி, காய்ச்சல், பசியின்மை, உடல் எடை குறைதல் போன்றவை இருக்கும்.

காசநோய் மரணங்கள்
இந்தியாவில் மட்டும், காசநோயால் மிக மோசமாக பாதிக்கப்பட்டு, கடந்தாண்டில், 2.7 லட்சம் பேர் இறந்து உள்ளனர். காசநோயால் பாதிக்கப்பட்டவர்களில் பெரும்பாலானோர், அதற்கான சிகிச்சையை பெறாமலேயே, இருக்கின்றனர் என்றும், சுகாதார நிறுவனத்தின் ஆய்வு, அடுத்த அதிர்ச்சி குண்டை போட்டுள்ளது.

உலக அளவில்
உலக அளவில்3ல்ஒருவருக்கு காசநோய் பாதிப்பு இருப்பதாக கண்டறியப்பட்டுள்ளது. இந்தியா, தென்ஆப்பிரிக்க நாடுகளில்தான் டிபியினால் அதிக மரணங்கள் நிகழுகின்றன.

5 நாடுகள்
இந்தியா, சீனா, தென் ஆப்பிரிக்கா, இந்தோனேசியா மற்றும் பாகிஸ்தான் நாடுகளில்தான் அதிக அளவில் டிபி யினால் பாதிக்கப்பட்டுள்ளனர்.

பெண்கள்-குழந்தைகள்
8.6 மில்லியன் பேர் காசநோயினால் பாதிக்கப்பட்டுள்ள நிலையில் 0.5 மில்லியன் குழந்தைகளும், 2.9 மில்லியன் பெண்களும் இந்த நோயினால் பீடிக்கப்பட்டுள்ளனர்.
-
1 மணி நேரம் நின்றாலும் ஒரு சொட்டு பெட்ரோல் இல்லை! ஹைதராபாத்தில் நிலைமை இதுதான்.. கள நிலவரம் இதுதான்! -
இந்தியாவிற்கு மிகப்பெரிய அறிவிப்பு.. சுரேஷ் கோபி vs நரேந்திர மோடி.. அடுத்தடுத்து கவனித்தீர்களா? -
"மறைமுக ஊரடங்கு?" இந்தியாவை மெல்ல சுத்துபோடும் ஆபத்து.. கூட்டி கழிச்சு பாருங்க எல்லாம் புரியும் -
ஈரானுடன் ரகசிய டீல்.. சைலன்ட்டாக அம்பானி சம்பவம்.. 2019க்கு பின் இந்தியா வரும் 50 லட்சம் பேரல் ஆயில் -
ஈரானை அரவணைக்கும் இந்தியா.. மீண்டும் தொடங்கும் கச்சா எண்ணெய் வர்த்தகம்? மத்திய அரசு பிளான் -
அதை சொல்ல யாருக்கும் அருகதை இல்லை.. வீட்டிலும், ஆபீஸிலும் இதுதான் நடக்குது செல்வராகவன் ஆதங்கம் -
56 out of 234: விசிகவுக்கு "6+2!" திமுக கூட்டணியில் எந்தெந்த கட்சிகளுக்கு எத்தனை தொகுதிகள்? -
கேஸ் மானியம் ₹300 வந்தாச்சா? வங்கிக்கு போகவே வேண்டாம்… வீட்டிலேயே 2 நிமிஷத்தில் தெரிஞ்சுக்கலாம் -
அமெரிக்காவை வீழ்த்தும் ஈரான்.. ஆட்டம் காணும் மிதக்கும் அரண்மனை.. ஒரே இரவில் பஸ்பம் ஆன $13000000000! -
டிரம்ப் வயிற்றில் பாலை வார்த்த ஈரான்.. அமெரிக்காவுக்கு முதல் முறையாக பச்சைக்கொடி -
உடைந்தது திமுக கூட்டணி..தனித்துப் போட்டியிடும் விசிக! அதிரடியாக அறிவித்த திருமா! அவரே சொன்ன விளக்கம் -
வைகோவால் 25 சீட் போச்சு.. அன்புமணியால் திமுகவுக்கு 50 சீட் காலி.. 2016இல் விஜயகாந்த் விழுந்த கதை!












Click it and Unblock the Notifications