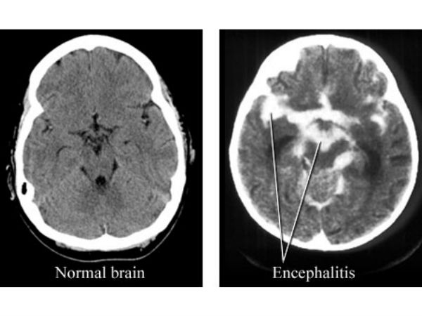
மேற்குவங்கம்: மூளை வீக்க நோய் தாக்கி 60 பேர் பலி
கொல்கத்தா: மேற்கு வங்கத்தில் வடக்குப் பகுதியில் உள்ள ஏழு மாவட்டங்களில் என்சிஃபாலிட்டிஸ் என்றழைக்கப்படும் மூளை வீக்க நோய் தாக்கி 0 பேர் வரை உயிரிழந்திருப்பதாக அம்மாநில சுகாதாத்துறை தலைமை இயக்குனரான பிஸ்வரஞ்சன் சத்பதி கூறியுள்ளார்.
இம்மாவட்டங்கள் முழுவதும் இந்நோயால் பலர் பாதிக்கப்பட்டுள்ளளதாக கூறியுள்ள அவர், நிலைமை அபாய கட்டத்தை நோக்கி சென்று கொண்டிருப்பதாக கூறினார்.
நேற்று வடமேற்கு வங்கத்தில் உள்ள சுகாதார அதிகாரிகளுடன் ஆலோசனை செய்த அவர் கடந்த ஜூலை 7ந் தேதி முதல் ஜூலை 20ந் தேதி வரை இந்த 60 பேரும் இறந்ததாக தெரிவித்தார். இது வரை 344 பேர் இந்நோயால் பாதிக்கப்பட்டதாக கூறிய அவர் ஜப்பானிய மூளை வீக்க நோயாலேயே இவர்கள் அனைவரும் இறந்துள்ளனர் என்றார்.
மூளை வீக்க நோய் பாதிப்பு குறித்து கண்டறியும் கருவிகள் கூட அங்குள்ள மருத்துவமனைகளில் இல்லாததால் பெரும்பாலானோர் இறக்க நேரிட்டுள்ளது.

60 பேர் பலி
கடந்த வருடம் இந்நோய்க்கு 5 பேர் மட்டுமே பலியான நிலையில் தற்போது 60 பேர் பலியாகியிருப்பது மேற்குவங்க மாநிலத்தில் பலத்த அதிர்ச்சியை ஏற்படுத்தியுள்ளது. தற்போது அங்கு எந்நேரமும் பணியில் மருத்துவர்கள் இருக்க அரசு ஆணையிட்டுள்ளது.

பீகாரில் நோய் தாக்குதல்
பீகாரில் உள்ள முசார்பர்பூர் மாவட்டத்தில் மூளை வீக்கம் காரணமாக இந்த ஆண்டு மட்டும் இதுவரை 38 சிறுவர் சிறுமியர் உயிரிழந்ததுடன், 120 பேர் வரை மருத்துவமனையில் சிகிச்சைக்காக அனுமதிக்கப்பட்டுள்ளனர் என்ற தகவல் வெளியாகியுள்ளது.
கடந்த இருபது வருடங்களாக முசாபர்பூர் மற்றும் அதனை சுற்றியுள்ள பகுதிகளில் உயிர் கொல்லும் பயங்கரமான இந்நோய் ஏன் பரவுகிறது என இதுவரை கண்டுபிடிக்க முடியவில்லை.

உத்தரபிரதேசத்தில் தாக்குதல்
உத்தரப்பிரதேசத்தில் உள்ள கோரக்பூரிலும் இதே காய்ச்சலால் பாதிக்கப்பட்டவர்கள் மருத்துவனையில் சேர்க்கப்பட்டுள்ளதாக கூறப்படுகிறது. இந்நோய் பரவ முக்கிய காரணம் கடும் வெப்பம் மற்றும் ஈரப்பதம் ஆகியவை தான் என அறுவை சிகிச்சை நிபுணரான கியான் பூஷன் தெரிவித்துள்ளார்.

மருந்து கண்டுபிடிக்கப்படவில்லை
உத்தரபிரதேச மாநிலத்தில் கடந்த 2009ம் ஆண்டு இந்த வகை மூளை வீக்க நோயால் 2,612 பேர் பாதிக்கப்பட்டு பல்வேறு மருத்துவமனைகளில் அவர்களில் 441 பேர் உயிரிழந்தனர் என்பது நினைவிருக்கலாம். இந்த கொடுமையான வியாதி ஏழை மக்களை தான் வெகுவாக தாக்குகிறது. இந்நோய்க்கு இதுவரை எவ்வித மருந்தும் கண்டுபிடிக்கப்படவில்லை என்பது குறிப்பிடத்தக்கது.

மத்திய அரசு நடவடிக்கை
மத்திய சுகாதாரத்துறை அமைச்சர் ஹர்ஷ்வர்தன் கடந்த ஜூன் மாதம் டெல்லியில் இது குறித்த கலந்தாய்வு கூட்டத்தில் கலந்துகொண்டு இந்நோயை குணப்படுத்துவது மற்றும் கட்டுப்படுத்துவதற்கான வழிகளை கண்டுபிடிக்குமாறு கேட்டுக்கொண்டுள்ளார். இந்நோயை தடுக்க ஐந்து ஆண்டு திட்டத்தை வகுக்கவும் அவர் உத்தரவிட்டுள்ளார்.












Click it and Unblock the Notifications